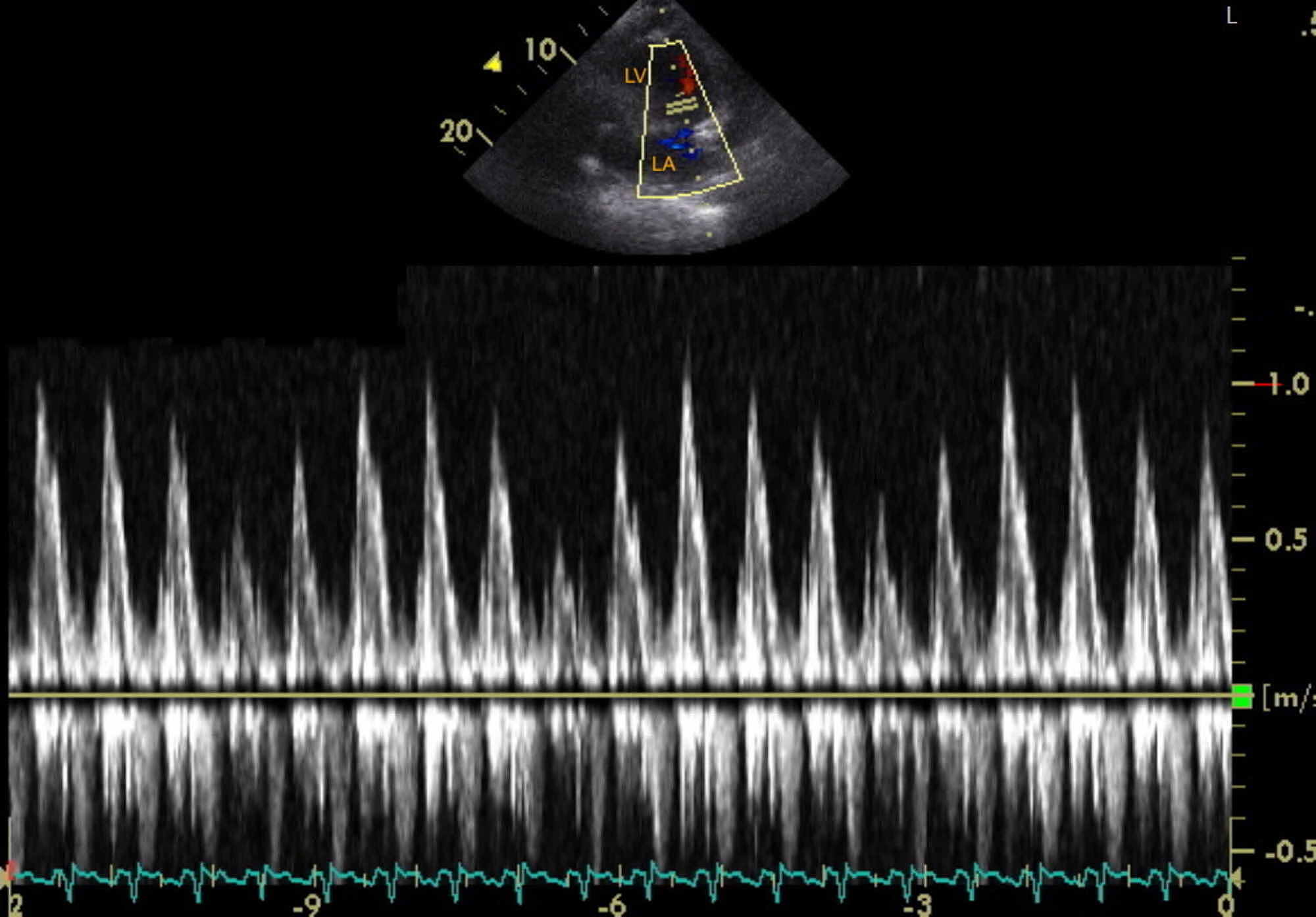
Tamponade Mitral Inflow Variation . Echo signs • early signs: Web echocardiographic findings include: » ivc dilated, not collapsing » increased respiratory variation in mitral (> 25%) and tricuspid (> 40%) inflows • late signs: A pericardial effusion (larger size associated with tamponade), diastolic right. Web several echocardiographic features support the hemodynamic diagnosis of tamponade, including early diastolic collapse of the right. Web (a) diagram showing mitral and tricuspid valves inflow patterns variability with the respiratory cycle in cardiac tamponade. Web the pathophysiology of tamponade entails exaggerated variations in the normal haemodynamic changes that occur during respiration.
from www.researchgate.net
Echo signs • early signs: Web the pathophysiology of tamponade entails exaggerated variations in the normal haemodynamic changes that occur during respiration. Web several echocardiographic features support the hemodynamic diagnosis of tamponade, including early diastolic collapse of the right. A pericardial effusion (larger size associated with tamponade), diastolic right. Web echocardiographic findings include: Web (a) diagram showing mitral and tricuspid valves inflow patterns variability with the respiratory cycle in cardiac tamponade. » ivc dilated, not collapsing » increased respiratory variation in mitral (> 25%) and tricuspid (> 40%) inflows • late signs:
Representative echocardiographic images of cardiac tamponade. A
Tamponade Mitral Inflow Variation Web echocardiographic findings include: Web several echocardiographic features support the hemodynamic diagnosis of tamponade, including early diastolic collapse of the right. Echo signs • early signs: A pericardial effusion (larger size associated with tamponade), diastolic right. Web the pathophysiology of tamponade entails exaggerated variations in the normal haemodynamic changes that occur during respiration. Web echocardiographic findings include: » ivc dilated, not collapsing » increased respiratory variation in mitral (> 25%) and tricuspid (> 40%) inflows • late signs: Web (a) diagram showing mitral and tricuspid valves inflow patterns variability with the respiratory cycle in cardiac tamponade.
From www.researchgate.net
Transthoracic echocardiogram showing a mitral valve inflow E wave Tamponade Mitral Inflow Variation A pericardial effusion (larger size associated with tamponade), diastolic right. Web echocardiographic findings include: Echo signs • early signs: Web the pathophysiology of tamponade entails exaggerated variations in the normal haemodynamic changes that occur during respiration. » ivc dilated, not collapsing » increased respiratory variation in mitral (> 25%) and tricuspid (> 40%) inflows • late signs: Web (a) diagram. Tamponade Mitral Inflow Variation.
From journalfeed.org
Pericardial Tamponade for Emergency Medicine Spoon Feed Version Tamponade Mitral Inflow Variation Web several echocardiographic features support the hemodynamic diagnosis of tamponade, including early diastolic collapse of the right. » ivc dilated, not collapsing » increased respiratory variation in mitral (> 25%) and tricuspid (> 40%) inflows • late signs: Web the pathophysiology of tamponade entails exaggerated variations in the normal haemodynamic changes that occur during respiration. Echo signs • early signs:. Tamponade Mitral Inflow Variation.
From ecgwaves.com
Assessment of diastolic function by echocardiography Cardiovascular Tamponade Mitral Inflow Variation Web the pathophysiology of tamponade entails exaggerated variations in the normal haemodynamic changes that occur during respiration. Web several echocardiographic features support the hemodynamic diagnosis of tamponade, including early diastolic collapse of the right. Web echocardiographic findings include: » ivc dilated, not collapsing » increased respiratory variation in mitral (> 25%) and tricuspid (> 40%) inflows • late signs: Web. Tamponade Mitral Inflow Variation.
From www.grepmed.com
POCUS Pearls for Tamponade Pericardial Effusion GrepMed Tamponade Mitral Inflow Variation A pericardial effusion (larger size associated with tamponade), diastolic right. Web several echocardiographic features support the hemodynamic diagnosis of tamponade, including early diastolic collapse of the right. Web echocardiographic findings include: Web (a) diagram showing mitral and tricuspid valves inflow patterns variability with the respiratory cycle in cardiac tamponade. » ivc dilated, not collapsing » increased respiratory variation in mitral. Tamponade Mitral Inflow Variation.
From www.acep.org
Cardiac Tamponade EM Ultrasound Section Tamponade Mitral Inflow Variation » ivc dilated, not collapsing » increased respiratory variation in mitral (> 25%) and tricuspid (> 40%) inflows • late signs: Web (a) diagram showing mitral and tricuspid valves inflow patterns variability with the respiratory cycle in cardiac tamponade. Web several echocardiographic features support the hemodynamic diagnosis of tamponade, including early diastolic collapse of the right. Web echocardiographic findings include:. Tamponade Mitral Inflow Variation.
From www.researchgate.net
Pulsedwave Dopplerderived mitral (A) and tricuspid (B) early inflow Tamponade Mitral Inflow Variation Web several echocardiographic features support the hemodynamic diagnosis of tamponade, including early diastolic collapse of the right. Web the pathophysiology of tamponade entails exaggerated variations in the normal haemodynamic changes that occur during respiration. Web echocardiographic findings include: Web (a) diagram showing mitral and tricuspid valves inflow patterns variability with the respiratory cycle in cardiac tamponade. » ivc dilated, not. Tamponade Mitral Inflow Variation.
From www.emra.org
Advanced Critical Care Ultrasound Use of Mitral Inflow Velocity Tamponade Mitral Inflow Variation A pericardial effusion (larger size associated with tamponade), diastolic right. Web echocardiographic findings include: » ivc dilated, not collapsing » increased respiratory variation in mitral (> 25%) and tricuspid (> 40%) inflows • late signs: Web several echocardiographic features support the hemodynamic diagnosis of tamponade, including early diastolic collapse of the right. Echo signs • early signs: Web (a) diagram. Tamponade Mitral Inflow Variation.
From www.cureus.com
Cureus Atypical Cardiac Tamponade Manifesting as Left Ventricular Tamponade Mitral Inflow Variation » ivc dilated, not collapsing » increased respiratory variation in mitral (> 25%) and tricuspid (> 40%) inflows • late signs: Web several echocardiographic features support the hemodynamic diagnosis of tamponade, including early diastolic collapse of the right. A pericardial effusion (larger size associated with tamponade), diastolic right. Web echocardiographic findings include: Echo signs • early signs: Web the pathophysiology. Tamponade Mitral Inflow Variation.
From www.pinterest.com
Pericarditis/tamponade Cardiac sonography, Cardiac nursing Tamponade Mitral Inflow Variation Web (a) diagram showing mitral and tricuspid valves inflow patterns variability with the respiratory cycle in cardiac tamponade. » ivc dilated, not collapsing » increased respiratory variation in mitral (> 25%) and tricuspid (> 40%) inflows • late signs: Echo signs • early signs: Web echocardiographic findings include: Web the pathophysiology of tamponade entails exaggerated variations in the normal haemodynamic. Tamponade Mitral Inflow Variation.
From www.researchgate.net
af. Mitral inflow pattern variation with changing AV intervals (in Tamponade Mitral Inflow Variation Web the pathophysiology of tamponade entails exaggerated variations in the normal haemodynamic changes that occur during respiration. » ivc dilated, not collapsing » increased respiratory variation in mitral (> 25%) and tricuspid (> 40%) inflows • late signs: Web several echocardiographic features support the hemodynamic diagnosis of tamponade, including early diastolic collapse of the right. Web echocardiographic findings include: Echo. Tamponade Mitral Inflow Variation.
From pedecho.org
Apical 4 chamber Pediatric Echocardiography Tamponade Mitral Inflow Variation Web several echocardiographic features support the hemodynamic diagnosis of tamponade, including early diastolic collapse of the right. Web (a) diagram showing mitral and tricuspid valves inflow patterns variability with the respiratory cycle in cardiac tamponade. Web echocardiographic findings include: A pericardial effusion (larger size associated with tamponade), diastolic right. » ivc dilated, not collapsing » increased respiratory variation in mitral. Tamponade Mitral Inflow Variation.
From cardiovascularultrasound.biomedcentral.com
Respiratory maneuvers in echocardiography a review of clinical Tamponade Mitral Inflow Variation A pericardial effusion (larger size associated with tamponade), diastolic right. Web echocardiographic findings include: Web several echocardiographic features support the hemodynamic diagnosis of tamponade, including early diastolic collapse of the right. » ivc dilated, not collapsing » increased respiratory variation in mitral (> 25%) and tricuspid (> 40%) inflows • late signs: Web (a) diagram showing mitral and tricuspid valves. Tamponade Mitral Inflow Variation.
From www.tamingthesru.com
US Cardiac Tamponade? Ultrasound of the Month — Taming the SRU Tamponade Mitral Inflow Variation » ivc dilated, not collapsing » increased respiratory variation in mitral (> 25%) and tricuspid (> 40%) inflows • late signs: Web echocardiographic findings include: Web several echocardiographic features support the hemodynamic diagnosis of tamponade, including early diastolic collapse of the right. Echo signs • early signs: Web the pathophysiology of tamponade entails exaggerated variations in the normal haemodynamic changes. Tamponade Mitral Inflow Variation.
From www.cardioserv.net
6 Clues to Determining Presence of Cardiac Tamponade Cardioserv Tamponade Mitral Inflow Variation Web the pathophysiology of tamponade entails exaggerated variations in the normal haemodynamic changes that occur during respiration. Web echocardiographic findings include: » ivc dilated, not collapsing » increased respiratory variation in mitral (> 25%) and tricuspid (> 40%) inflows • late signs: Echo signs • early signs: A pericardial effusion (larger size associated with tamponade), diastolic right. Web several echocardiographic. Tamponade Mitral Inflow Variation.
From www.thepocusatlas.com
Echocardiography — TPA Tamponade Mitral Inflow Variation A pericardial effusion (larger size associated with tamponade), diastolic right. Web echocardiographic findings include: Echo signs • early signs: Web the pathophysiology of tamponade entails exaggerated variations in the normal haemodynamic changes that occur during respiration. Web (a) diagram showing mitral and tricuspid valves inflow patterns variability with the respiratory cycle in cardiac tamponade. Web several echocardiographic features support the. Tamponade Mitral Inflow Variation.
From casereports.bmj.com
Atypical cardiac tamponade in severe pulmonary hypertension BMJ Case Tamponade Mitral Inflow Variation Web (a) diagram showing mitral and tricuspid valves inflow patterns variability with the respiratory cycle in cardiac tamponade. A pericardial effusion (larger size associated with tamponade), diastolic right. Web several echocardiographic features support the hemodynamic diagnosis of tamponade, including early diastolic collapse of the right. Echo signs • early signs: Web the pathophysiology of tamponade entails exaggerated variations in the. Tamponade Mitral Inflow Variation.
From www.researchgate.net
Admission transthoracic echocardiography demonstrating tamponade Tamponade Mitral Inflow Variation A pericardial effusion (larger size associated with tamponade), diastolic right. Web echocardiographic findings include: » ivc dilated, not collapsing » increased respiratory variation in mitral (> 25%) and tricuspid (> 40%) inflows • late signs: Web the pathophysiology of tamponade entails exaggerated variations in the normal haemodynamic changes that occur during respiration. Web several echocardiographic features support the hemodynamic diagnosis. Tamponade Mitral Inflow Variation.
From www.slideserve.com
PPT Pericardial Disease PowerPoint Presentation, free download ID Tamponade Mitral Inflow Variation » ivc dilated, not collapsing » increased respiratory variation in mitral (> 25%) and tricuspid (> 40%) inflows • late signs: Web several echocardiographic features support the hemodynamic diagnosis of tamponade, including early diastolic collapse of the right. A pericardial effusion (larger size associated with tamponade), diastolic right. Web echocardiographic findings include: Echo signs • early signs: Web the pathophysiology. Tamponade Mitral Inflow Variation.